Children's Early Orthodontics & Airway Dentist
Early orthodontics isn’t just about the teeth and jaws — it’s also about the airway. Airway dentistry looks at how breathing and jaw development are linked. If the jaws don’t grow as they should, the airway (the passages we breathe through) can be narrower, making it harder for a child to breathe properly through the nose.
You may have noticed things like snoring, restless sleep, mouth breathing, or even daytime tiredness in children — these can sometimes be linked to airway issues. By guiding jaw growth early, we can often improve the size and shape of the airway, helping kids breathe easier, sleep better, and thrive at school and at play.
What Is Early Orthodontic Intervention?
Early orthodontic intervention focuses on guiding the growth of the jaws and teeth while a child is still developing. At this early stage, their bones are more responsive to gentle changes, which makes treatment more effective & less invasive. Early orthodontic treatment is orthodontic treatment performed while baby teeth are still present, when a child is between 6-10 years old.
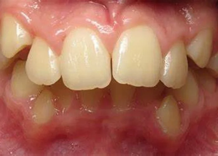
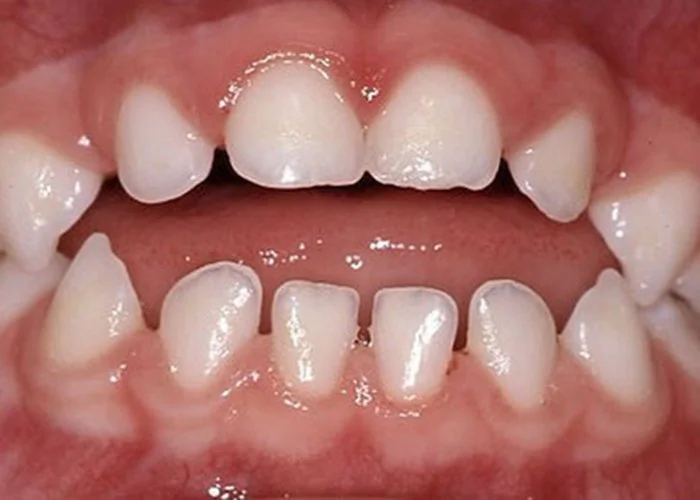
DOES YOUR CHILD SMILE LIKE THIS?
-

Crowded/Crooked Teeth
-

Crossbite
-

Overbite/Deep Bite
-

Openbite
-

Underbite
-

Tongue Tie
-

Lip Tie
-

Teeth Tipped in
negative impacts of underdeveloped jaws
Mouth breathing
Sleep Apnoea / Snoring
Crooked Teeth
Bed wetting
ADD/ADHD
Large tonsils/Adenoids
Frequent cavities
Clenching/Grinding
Dark Circles under eyes
Recessed Chin
Allergies
Chronic ear infections
Night Terrors
Early support today means fewer problems tomorrow.
Benefits of early orthodontic intervention include:
Supporting correct jaw growth and tooth eruption
Creating space for adult teeth to come through properly
Improving facial symmetry and bite alignment
Reducing the risk of needing complex, lengthy treatment later on
Correcting habits like thumb-sucking or tongue-thrusting
Helping with breathing, speech, and chewing
Early orthodontic care isn’t just about straighter teeth — it’s about giving your child the best possible start in life, from healthy breathing to a happy smile.
What’s the Best Age for an Orthodontic Check-Up?
Most orthodontists wait until 12+ to start treatment but by this age 90% of jaw growth is already complete.
Instead of waiting for orthodontic treatment, myofunctional expansion treatment focuses on:
Correct oral habits (nasal breathing, lip training, tongue posture)
Gentle, jaw guiding dental appliances (Like Myobrace)
Natural expansion to create the correct space
The Australian Society of Orthodontists recommends a first orthodontic check-up at around age 7, even if no problems are visible.
Braces are NOT the answer most of the time
90% of orthodontic/braces cases will relapse, unless lifetime retainers are worn.
Braces make our teeth LOOK straight, but we need to ask: Why are our teeth crooked in the first place?
Braces can effectively move teeth into desired positions, but when we focus solely on straightening teeth without expanding the jaw structure or addressing functional issues like improper tongue posture, swallowing patterns, or mouth breathing, teeth naturally tend to return to their original positions over time.
Our teeth need the right foundation.
If our jaw is too underdeveloped or small, the teeth have nowhere to move to. Braces move your teeth into the right position, but they don’t treat the root cause. A majority of people will need retainers for life, as teeth will try to move back to original position without proper treatment.
Our goal at Integrative Dental is to find and treat the cause, not just the symptoms.
Expanding the jaw naturally and gently so the teeth fit without force.
Improving patients’ breathing and airway function for long-term wellness.
Encouraging a proper tongue technique posture for lasting alignment
Find Out if Early Orthodontics is Right for Your Child
Integrative Dental recommends a 30-minute orthodontic and airway assessment with Dr Stein.
Our caring and experienced team is here to help your child breathe easier, sleep better, and smile with confidence. Through our innovative approach, we focus on improving long-term health and quality of life, while ensuring comfort at every step.
Get in touch today to schedule an appointment. We’re happy to answer any questions and will guide you through the process with warmth and care. Call us on 02 8028 0111 or complete the form via the link, and one of our friendly team members will be in touch to help organise your visit.
We look forward to welcoming you and your family to Integrative Dental.